Cuba concluirá el presente año con la producción de alrededor de 570 medicamentos que representan el 65 % de los contemplados en el cuadro básico de esos renglones en el país Continuar leyendo
Cuba concluirá el presente año con la producción de alrededor de 570 medicamentos que representan el 65 % de los contemplados en el cuadro básico de esos renglones en el país Continuar leyendo
De acuerdo con el último censo de población y viviendas, Cuba se sitúa como uno de los países de América Latina con mayor número de personas de la tercera edad: más de 2 millones de personas con 60 años o más Continuar leyendo
Afirma una enfermera que ha visto de cerca las muchas caras de la enfermedad Continuar leyendo
El rescate de los conceptos fundacionales del programa del médico y la enfermera de la familia redundará en la calidad de la atención primaria de salud Continuar leyendo
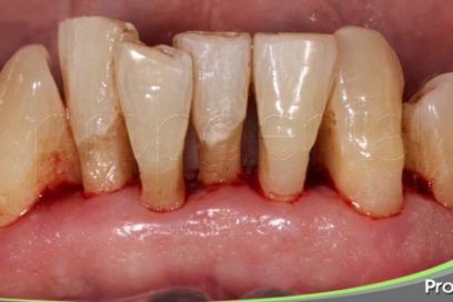
Un equipo de expertos aseguró que las estatinas, comúnmente recetadas para reducir el colesterol, también disminuyen la inflamación asociada con la enfermedad de las encías Continuar leyendo
Todos sabemos cada cuánto tiempo hay que lavar nuestras prendas y sábanas, pero las toallas suelen jugar en otra categoría. Continuar leyendo
“La estimulación prenatal es el conjunto de acciones conscientes y voluntarias que despliega la familia, especialmente la mamá, para potenciar el desarrollo del bebé, no solo en el sentido congnitivo, intelectual o sensorial sino en el afectivo”, definió la doctora Patricia Arés Muzio, durante una entrevista en el programa televisivo 40 semanas y más. Continuar leyendo
Sesionará la 5ta. edición del Seminario internacional del 14 al 18 de septiembre en el Palacio de Convenciones Continuar leyendo
La transmisión a los humanos es baja; muchas se contraen por contaminación con materia fecal; la prevención involucra una higiene adecuada Continuar leyendo
Una terapia perteneciente a la Medicina Regenerativa consigue, en no pocos casos, reducir hasta el 50 por ciento el dolor provocado por la osteoartritis de rodilla Continuar leyendo
© 2018 Trabajadores. Órgano de la Central de Trabajadores de Cuba
Director: Alberto Núñez Betancourt
Subdirectores Editoriales: Alina Martínez Triay y Joel García León
Territorial y General Suárez. Plaza de la Revolución. La Habana, Cuba. CP: 10698
Fax: 053 (7) 555927 E-mail: digital@trabajadores.cu