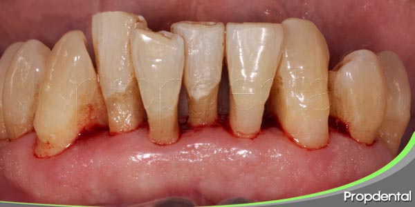
Un equipo de expertos aseguró que las estatinas, comúnmente recetadas para reducir el colesterol, también disminuyen la inflamación asociada con la enfermedad de las encías.
Publicada en la revista especializada Journal of the American College of Cardiology, la investigación sugiere además que las medidas adoptadas para disminuir la afección de las encías pueden rebajar la inflamación en las arterias.
Los especialistas analizaron durante 12 semanas la posible función de distintas dosis de estatinas, de 10 a 80 miligramos al día, en un grupo de pacientes con padecimientos del corazón o un riesgo de enfermedad cardiaca alta. Según el artículo, los 59 pacientes incluidos en el análisis mostraron una reducción importante en la inflamación de las encías después de cuatro semanas con el tratamiento de alta dosis de este compuesto; esta curación también significó una mejoría en la afección aterosclerótica.
En tal sentido, la investigación proporciona más evidencia sobre una relación entre la enfermedad periodontal y la aterosclerosis, y defiende la posibilidad de que mejorar la higiene oral, puede reducir además la inflamación de las arterias.
Otro grupo de expertos concluyó que el uso de las estatinas no representa una amenaza para la memoria a corto plazo y que pueden proteger contra la demencia cuando se toman durante más de un año. | PL

